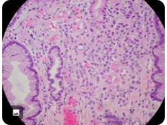
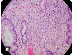
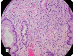
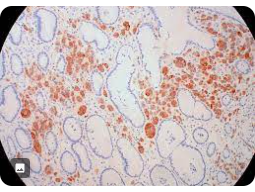
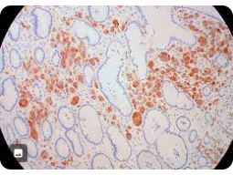
위암이란?
위암은 위안에 악성 종양이 생기는 것을 말합니다. 위암은 세포의 비정상적인 성장과 분열로 인해 발생합니다. 위암은 일반적으로 위의 상부에 위치한 점막세포에서 시작되며, 그 후에는 근육층과 지방층까지 퍼져나갈 수 있습니다.






위암은 일반적으로 소화기관의 다른 부분에 발생하는 암보다 적게 진단됩니다. 그러나 위암은 초기에는 대부분 증상이 없어서 발견이 어려운 경우가 많습니다. 따라서, 위암은 진행되면서 증상이 심해져서야 발견되는 경우가 많습니다. 그러므로 위암 검진을 꾸준히 받는 것이 중요합니다.






위암의 주요 위험 요인에는 흡연, 과도한 알코올 소비, 비만, 자주 반복적인 위산 역류, 과도한 소금 섭취, 위암 가족력 등이 있습니다. 위암은 조기 발견하고 치료를 받으면 예후가 훨씬 좋아지므로, 꾸준한 위암 검진을 통해 조기 발견과 예방에 노력하는 것이 중요합니다.
위암 초기증상 10가지
위암 초기증상은 다양하지만, 일반적으로는 다음과 같은 증상이 있을 수 있습니다.






- 위통 또는 복통: 위암 환자는 종종 위나 복부에 통증을 느낄 수 있습니다.
- 소화불량: 위암이 있는 사람들은 소화 과정에서 문제가 생길 수 있으며, 소화불량과 관련된 증상으로는 메스꺼움, 토혈, 설사 등이 있을 수 있습니다.
- 체중 감소: 위암 환자는 체중 감소가 빠르게 일어날 수 있습니다.
- 식욕부진: 위암 환자는 식욕이 감퇴하거나, 아예 없어질 수 있습니다.
- 구역질: 위암 환자는 종종 구역질을 하거나, 구토를 일으킬 수 있습니다.
- 흑색 변두리: 위암 환자는 대변이 검붉거나 검은색으로 나타날 수 있습니다.
- 피부발진: 위암 환자는 종종 피부발진이 생길 수 있습니다.
- 피로감: 위암 환자는 피로감이나 무기력함을 느낄 수 있습니다.
- 어지러움: 위암 환자는 어지러움을 느낄 수 있습니다.
- 목소리 변화: 위암이 목 부근에 있을 경우 목소리에 변화가 생길 수 있습니다.
위암 초기증상은 다양하게 나타날 수 있으므로, 이러한 증상이 나타날 경우 즉시 전문가의 진료를 받는 것이 중요합니다.
위암 초기증상 설사






위암 초기증상으로 설사가 나타나는 경우는 드뭅니다. 하지만, 위암으로 인해 생기는 설사의 경우는 발생할 수 있습니다.
위암으로 인해 생기는 설사는 다른 소화기 질환으로 인한 설사와 다르게, 일반적으로는 중반부 이상에서 발생합니다. 위암이나 위궤양과 같은 위장관 질환으로 인해 소화가 원활하지 않으면, 대장에서 배출되는 변의 양과 질이 변할 수 있습니다. 이로 인해 변이 묽거나 자주 발생할 수 있으며, 설사의 증상이 나타날 수 있습니다.






하지만, 위암 초기에는 대개 증상이 없거나 무시할 만한 증상만 나타나기 때문에, 설사가 위암의 유일한 초기 증상으로 나타난다면, 이는 드물고 희귀한 경우일 수 있습니다. 따라서, 설사가 계속되거나 심해진다면, 전문가의 진료를 받아야 합니다.
위암 초기평소증상
위암의 초기 증상은 종종 특이하지 않아서 발견하기 어려울 수 있습니다. 하지만, 다음과 같은 평소 증상이 나타날 수 있습니다:은 평소 증상이 나타날 수 있습니다:






- 소화불량: 음식물을 소화하지 못하고 느껴지는 상태로, 식사 후 복부 부풀음, 구토, 메스꺼움, 식욕감퇴 등이 있을 수 있습니다.
- 위부 불편감: 상복부에 불편감을 느끼는 경우가 있습니다.
- 복통: 종종 상복부에 느껴지며, 약간의 통증에서부터 매우 심한 통증까지 나타날 수 있습니다.
- 체중 감소: 불명한 원인으로 갑자기 체중이 감소하는 경우가 있습니다.
- 식욕감퇴: 음식에 대한 관심이 줄어들고, 먹는 양이 줄어드는 경우가 있습니다.
- 구역질: 구역질, 메스꺼움, 구토 등의 증상이 나타날 수 있습니다.
- 피로감: 일반적인 활동을 수행하는 것이 어렵고, 지속적인 피로감이 느껴지는 경우가 있습니다.
- 속 쓰림: 식후에도 속이 쓰린 경우가 있습니다.
- 혈액의 혼합된 구토: 위암의 진행으로 위벽이 파열되어 나온 경우, 혈액이 섞인 구토가 나타날 수 있습니다.
- 난소통: 위에서부터 속쓰림과 함께 등을 타고 내려와서 발생하는 통증입니다.
위 증상이 있는 경우, 의료 전문가의 진료를 받아야 합니다.
댓글